Atrofia multisistémica: trastorno de la marcha y signo de la cruz
Atrofia multisistémica: trastorno de la marcha y signo de la cruz
Mujer | 45 años
Diagnóstico final: Atrofia multisistémica subtipo cerebeloso
Nivel de certeza: 




Neurología: Trastornos del movimiento
Etiología: Degenerativo
Blanca Prieto García - Hospital De León
03-Oct-2025
Resumen del caso
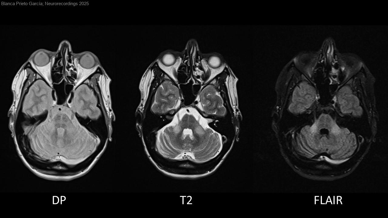
Mujer de 45 años con antecedentes de migraña y trastorno ansioso-depresivo. Refiere mareos, vértigos, inestabilidad a la marcha y alteración en la articulación del habla desde hace 3 meses. A la exploración se evidencia disartria...
Para ver el contenido completo debe estar registrado
Haga click aquí para iniciar sesión o registrarse

El acceso a Neurorecordings está restringido a médicos, y hace uso del sistema de validación de la plataforma Navandú. Si aún no dispone de usuario es necesario proceder previamente a su registro.
Para cualquier consulta puede dirigirse al Centro de Atención Navandú.
Para iniciar sesión y registrarse en Neurorecordings, le vamos a redirigir a la plataforma de validación profesional de Sngular.
AVISO
Está saliendo del sitio web de Neurorecordings. Este enlace le llevará a un sitio web en el que no se aplica nuestra Política de Privacidad. Usted es el único responsable de sus interacciones con ese sitio web.
