Absceso cerebral causado por Estreptococo Intermedius. Reporte de un caso

Absceso cerebral causado por Estreptococo Intermedius. Reporte de un caso
Mujer | 25 años
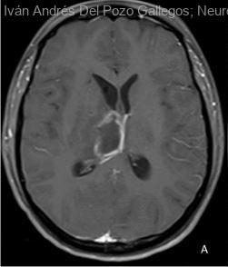
Diagnóstico final: ABCESO CEREBRAL
Nivel de certeza: 




Neurología: Infecciosas
Etiología: Infecciosas / inflamatoria / desmielinizante
Iván Andrés Del Pozo Gallegos - Hospital Universitario Rey Juan Carlos
Laura Santos
03-Oct-2025
Resumen del caso
Paciente de 25 años, sin antecedentes clínicos de importancia, que acude al servicio de urgencia con historia de 1 semana de intensa cefalea frontal pulsátil, vómitos sin nausea, dolor abdominal y fiebre diaria. Al examen...
Para ver el contenido completo debe estar registrado
Haga click aquí para iniciar sesión o registrarse

El acceso a Neurorecordings está restringido a médicos, y hace uso del sistema de validación de la plataforma Navandú. Si aún no dispone de usuario es necesario proceder previamente a su registro.
Para cualquier consulta puede dirigirse al Centro de Atención Navandú.
Para iniciar sesión y registrarse en Neurorecordings, le vamos a redirigir a la plataforma de validación profesional de Sngular.
AVISO
Está saliendo del sitio web de Neurorecordings. Este enlace le llevará a un sitio web en el que no se aplica nuestra Política de Privacidad. Usted es el único responsable de sus interacciones con ese sitio web.